三重県いなべ市で選ばれる痛くない歯医者|ハギノ歯科

0594-78-1777 平日・土曜 9:30〜19:00(木・日・祝休診)
2025年5月からWEB予約開始 Web予約

歯のクリーニング(保険・自費)
エアフローハンディ3.0導入

「歯の黄ばみ(ヤニ・茶渋)をしっかり落としたい」「歯周病が心配」「口元全体を健康にしたい」——そんなお悩みをお持ちの方へ。

ハギノ歯科では、患者様のニーズに合わせて保険診療のクリーニング(歯石取り)自費診療のクリーニング(着色除去含む)をご用意しています。

重要:茶渋やヤニなどの着色除去は審美目的となるため、保険適用外(自費診療)となります。保険診療では歯石・歯垢の除去を中心に虫歯・歯周病予防を行い、自費診療では着色除去を含む口元全体のトータルケアをご提供します。

さらに当院はエアフローハンディ 3.0シリーズを導入。微細パウダーと水流で歯と歯の間(隣接面)のヤニやステインまでやさしく除去し、メンテナンスの質を高めます(自費診療)。

保険と自費のクリーニングの違い

歯科クリーニングには保険診療自費診療があり、それぞれ目的と施術内容が異なります。 ご自身のニーズに合わせて選択していただけます。

保険診療のクリーニング(歯石取り)

保険診療のクリーニングは、歯石取りを目的とした治療です。 虫歯・歯周病の予防と治療を目的とし、保険の適用範囲で必要な検査・診断のうえ実施します。

  • 対象:歯石・歯垢の除去のみ
  • 目的:虫歯・歯周病の予防と治療
  • 制限:茶渋・ヤニなどの着色除去は保険適用外

重要:保険診療では、茶渋・ヤニなどの着色除去は認められていません。着色除去は見た目の改善(審美目的)となるため、保険適用外となります。

自費診療のクリーニング(トータルケア)

自費診療のクリーニングは、歯石・歯垢の除去に加え、茶渋・ヤニなどの着色除去を行います。 さらに舌の汚れの除去や歯肉のマッサージなども含め、口元全体を健康に整えるトータルケアをご提供します。

  • 歯石・歯垢の除去:虫歯や歯周病の原因となる汚れを徹底的に除去
  • 着色除去:茶渋・ヤニなどの表面着色(ステイン)をしっかり除去
  • 舌の汚れ除去:口臭の原因となる舌苔(ぜったい)もケア
  • 歯肉マッサージ:血行促進により歯ぐきを健康に保つ
  • 虫歯予防:フッ素塗布など予防処置も充実
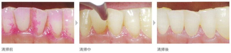
エアフローハンディ3.0による着色除去の効果(治療前後の比較)

エアフローハンディ3.0による着色除去の効果(治療前後)※自費診療

項目保険診療自費診療
茶渋・ヤニの除去❌(保険適用外)✅(可能)
歯石除去✅(保険適用)✅(含む)
舌の汚れ除去
歯肉マッサージ
目的病気の治療・予防治療・予防 + 審美改善

ホワイトニングとの違い
(どちらが自分に合う?)

歯を白くしたい場合、クリーニングとホワイトニングのどちらを選ぶべきか迷われる方も多いでしょう。 それぞれの特徴と目的を理解して、最適な選択をしましょう。

比較項目クリーニング
(自費診療)
ホワイトニング
(自費診療)
目的表面の着色汚れを除去して本来の歯の色に戻す薬剤で歯そのものの色調を明るくする
主な効果ヤニ・茶渋などのステイン除去、予防効果加齢による黄ばみや元々の色味を改善
対象となる汚れ表面的な着色汚れ歯の内部の変色
持続期間3〜4ヶ月(定期的なメンテナンス推奨)6ヶ月〜1年程度
おすすめの方表面の着色汚れが気になる方歯そのものを白くしたい方

当院のおすすめ:まずは自費診療のクリーニングで着色汚れを除去し「どこまでキレイになるか」を確認してから、さらに白さを求める場合はホワイトニングをご検討ください。詳しくはホワイトニング・審美歯科ページをご覧ください。

当院クリーニングの特徴

最新機器「エアフローハンディ 3.0」導入(自費診療)

当院では、スイスEMS社製の最新機器「エアフローハンディ 3.0」を導入しました。 自費診療のクリーニングで使用し、従来の清掃方法では難しかった部位まで、効果的にクリーニングできます。

エアフローハンディ3.0による治療中のシーン

エアフローハンディ3.0による快適なクリーニング施術(自費診療)

  • 隣接面清掃に強い:歯と歯の間や細部のヤニ・ステインまで、微細パウダーと水流の力で効果的に除去
  • やさしい使用感:歯や詰め物への負担が少なく、痛みや不快感を最小限に抑制
  • メンテナンスの質向上:再付着を抑えるツルツルの歯面を実現

歯周病リスクに合わせた「保険内の基本治療」

歯石除去(スケーリング)、ルートプレーニング、歯みがき指導など、歯周病の基本治療を保険の範囲で丁寧に行います。 着色が気になる方には、自費診療のエアフロー清掃をご提案し、予防と審美の両立を図ります。

痛みに配慮・短時間でスッキリ

炎症部位には特に配慮し、できるだけ痛みの少ない方法を選択します。 通常、30〜45分程度(状態により前後)でお口全体をすっきり整えます。 歯医者が苦手な方でも、リラックスして受診いただけるよう心がけています。

こんな方におすすめです

以下のような症状やお悩みをお持ちの方は、ぜひ当院のクリーニングをご検討ください。

保険診療のクリーニングがおすすめの方

  • 歯石を取りたい方:歯石が溜まっていて歯周病が心配
  • 歯周病予防をしたい方:出血・歯ぐきの腫れを改善したい
  • 定期メンテナンスを希望される方:3〜4ヶ月ごとのプロケアで虫歯・歯周病予防
  • 費用を抑えたい方:保険適用で経済的負担を軽減

自費診療のクリーニングがおすすめの方

  • 歯の黄ばみ(ヤニ・茶渋)をしっかり落としたい方:着色除去で本来の白さを取り戻したい
  • 口臭が気になる方:舌の汚れ除去で根本的な改善を図りたい
  • 口元全体をトータルケアしたい方:歯肉マッサージで歯ぐきも健康に保ちたい
  • 短時間で効果的なケアを希望される方:エアフローハンディ3.0で快適に短時間で済ませたい

クリーニングの流れ

当院での歯科クリーニングの一般的な流れをご説明します。保険診療と自費診療で内容が異なります。

1

カウンセリング・検査

まずはお悩みや症状をお伺いし、歯周ポケット測定、レントゲン撮影等で現在のお口の状態を詳しく把握します。 検査結果をもとに、保険診療または自費診療のクリーニングプランをご提案します。

2

歯石・プラークの除去

【保険診療・自費診療共通】
超音波スケーラーや手用器具を使い分けながら、歯石やプラークを丁寧に取り除きます。 歯周ポケット内の汚れも、痛みに配慮しながら確実に除去します。

3

着色除去・エアフロー清掃

【自費診療のみ】
エアフローハンディ3.0を使用し、歯と歯の間(隣接面)や細部のヤニ・茶渋などのステインを微細パウダーでやさしく除去。 保険診療では着色除去は行えません。

4

舌の汚れ除去・歯肉マッサージ

【自費診療のみ】
口臭の原因となる舌苔(ぜったい)を専用器具で除去。さらに歯肉マッサージで血行を促進し、歯ぐきを健康に保ちます。

5

仕上げ・再発予防

歯面を磨き上げ、フッ素塗布で歯質を強化します。 また、ご自宅でのセルフケアのポイントや、効果的な歯みがき方法をアドバイスします。

6

定期メンテナンス

3〜4ヶ月ごとの定期チェック・清掃で良い状態を維持。 患者様のリスクに応じて、最適なメンテナンス間隔をご提案します。

費用と保険適用について

お口の状態・歯数・炎症度により変動しますが、目安として以下をご参考ください。
費用の詳細につきましては、診察時にご説明いたします。

診療内容保険適用所要時間内容
初診・検査保険適用(3割負担)30〜60分問診・視診・レントゲン等
保険診療クリーニング
(歯石取り)
保険適用(3割負担)30〜45分歯石・歯垢除去のみ
※着色除去は含まれません
自費診療クリーニング
(トータルケア)
自費診療45〜60分歯石・歯垢除去
+ 着色除去(茶渋・ヤニ)
+ 舌の汚れ除去
+ 歯肉マッサージ
定期メンテナンス保険適用または自費30〜60分患者様のご希望に応じて選択可能

重要:茶渋・ヤニなどの着色除去は審美目的となるため保険適用外です。着色が気になる方は自費診療のクリーニングをお選びください。

クリーニング後のセルフケアのポイント

せっかくクリーニングでキレイになった歯を長く保つために、日々のセルフケアが重要です。 以下のポイントを意識して、健康な口腔環境を維持しましょう。

毎日の歯みがきで心がけること

  • 正しいブラッシング:歯と歯ぐきの境目を意識して、小刻みに優しく磨く
  • 時間をかけて丁寧に:最低3分以上、できれば5分程度かけてじっくり磨く
  • フッ素入り歯磨き粉:歯質を強化し、虫歯予防効果を高める
  • 補助清掃用具の活用:デンタルフロスや歯間ブラシで歯と歯の間もケア

生活習慣で気をつけること

  • 着色しやすい飲食物:コーヒー、紅茶、赤ワインなどは適度に控える
  • 禁煙・節煙:タバコのヤニは着色の大きな原因、歯周病リスクも上昇
  • こまめなうがい:食後のうがいで口腔内の汚れを早めに洗い流す

よくあるご質問

歯科クリーニングに関して、患者様からよくいただくご質問とその回答をご紹介します

Q

クリーニングで黄ばみは白くなりますか?

A

自費診療のクリーニングでは、ヤニ・茶渋などの表面汚れを除去でき、本来の歯の色に戻せます。ただし、保険診療では着色除去は行えません。歯そのものの色調改善には、ホワイトニング(自費)が必要です。詳しくはホワイトニングページをご覧ください。

Q

クリーニングに痛みはありますか?

A

炎症が強い部位は刺激を感じることがありますが、できるだけ痛みの少ない器具・方法を選び、必要に応じて麻酔も使用します。

Q

どのくらいの頻度で受ければいいですか?

A

一般的には3〜4ヶ月に一度を目安に、リスクに合わせて間隔をご提案します。

Q

1回の所要時間はどのくらいですか?

A

保険診療のクリーニングは30〜45分程度、自費診療のクリーニングは45〜60分程度です(状態により前後)。

Q

タバコのヤニに効果はありますか?

A

はい。自費診療のクリーニングでエアフローハンディ3.0を使用し、隣接面のヤニ・ステインまで効率よく除去できます。保険診療では着色除去は行えません。

Q

妊娠中でも受けられますか?

A

体調と時期に配慮し、無理のない範囲で対応します。気になる場合は事前にご相談ください。

Q

保険と自費の違いは何ですか?

A

保険診療は歯石取りを目的とした治療で、着色除去は行えません。自費診療では歯の着色除去(茶渋・ヤニ)に加え、舌の汚れ除去や歯肉マッサージなど、口元全体を健康に整えるトータルケアを提供します。

Q

クリーニング後の注意事項はありますか?

A

クリーニング直後は歯がしみやすくなることがありますが、通常は数日で落ち着きます。また、30分程度は飲食を控えていただくことをおすすめします。

関連メニューのご案内

歯科クリーニングと併せて、以下のメニューもご検討ください。

当院は、いなべ市・大安町を中心に、東員町・桑名市・四日市市からもご来院いただいています。
Web予約は24時間受付しております。お気軽にご相談ください。

まとめ:保険と自費、ニーズに合わせて選べるクリーニング

歯科クリーニングは、虫歯や歯周病を予防し、お口の健康を維持するために欠かせないケアです。 ハギノ歯科では、保険診療の歯石取り自費診療の着色除去を含むトータルクリーニングをご用意しています。

重要なポイント:
・保険診療では歯石・歯垢の除去のみ(着色除去は保険適用外)
・自費診療では着色除去(茶渋・ヤニ)+ 舌ケア + 歯肉マッサージ等のトータルケア
・当院のエアフローハンディ3.0で快適かつ効果的な着色除去が可能(自費診療)

保険診療は虫歯・歯周病の予防と治療を目的としており、着色除去は審美目的となるため保険適用外です。 着色が気になる方は、ぜひ自費診療のクリーニングをご検討ください。

さらに白い歯を求める方には、クリーニング後のホワイトニング(自費)もおすすめです。 まずはクリーニングで本来の歯の色を取り戻し、その後さらなる白さを追求することも可能です。

「歯の黄ばみをしっかり落としたい」「歯ぐきから血が出る」「口臭が心配」など、少しでも気になる症状がある方は、早めの受診をおすすめします。 ハギノ歯科では、患者様お一人おひとりのお口の状態とご希望に合わせて、最適なクリーニングプランをご提案いたします。

萩野 貴俊 副院長

この記事の監修者

ハギノ歯科 副院長
萩野 貴俊

愛知学院大学歯学部卒業。日本口腔衛生学会会員。 予防歯科を重視し、患者様の健康な口腔環境づくりをサポートしています。 定期的なクリーニングで、皆様の笑顔と健康を守ります。

歯のクリーニングに関するご相談はお気軽に

ハギノ歯科では、保険診療の歯石取りと、自費診療の着色除去を含むトータルクリーニングをご用意しています。
最新のエアフローハンディ3.0による快適なクリーニングで、健康で美しい口元を実現します。
お悩みやご不明点がありましたら、どんな小さなことでもお気軽にご相談ください。